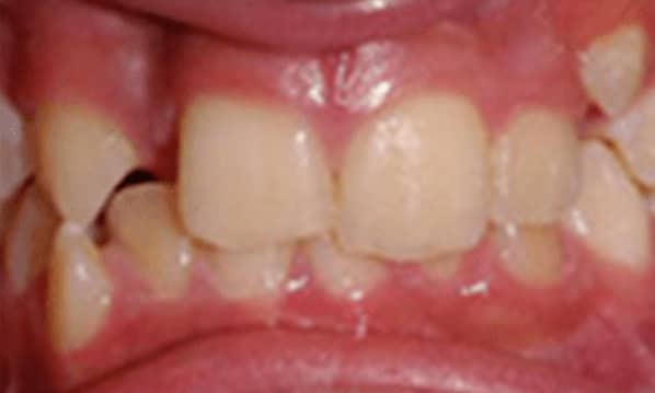
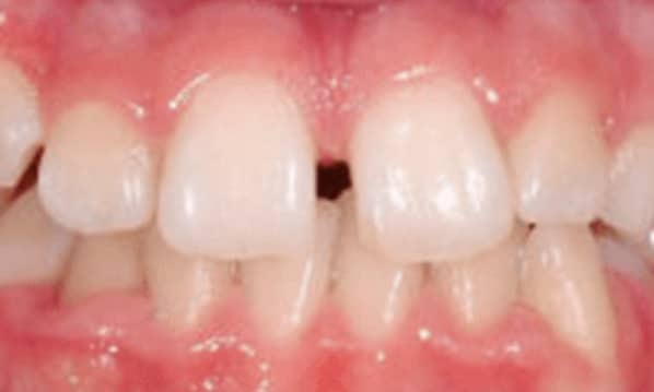
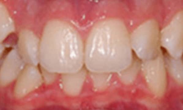
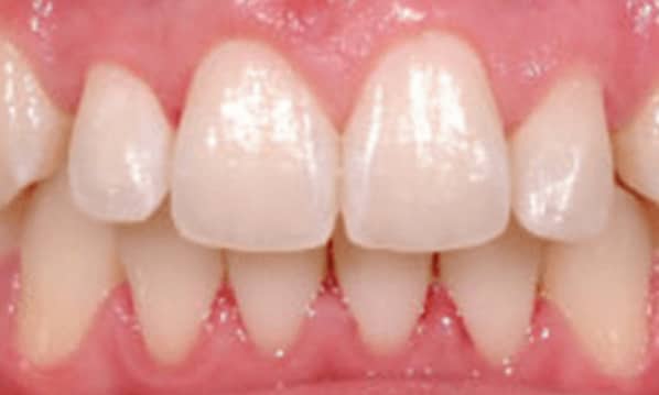
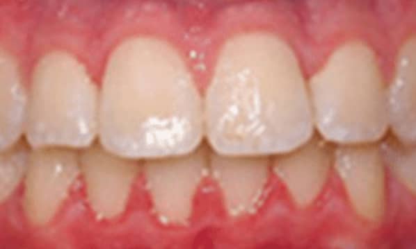
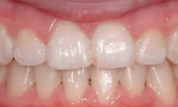
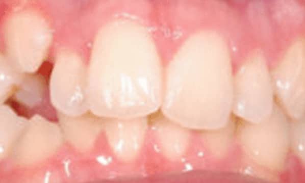
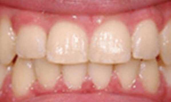
See the Difference

Many of these patients were extremely self-conscious about their appearance at school or work. These success stories truly transformed their lives!

Original Image After
Modified Image Before
Original Image After
Modified Image Before
Original Image After
Modified Image Before
Original Image After
Modified Image Before
Original Image After
Modified Image Before